How does a blind person experience green
By Damian
My name is Damian Toohey and I am a stroke survivor. A stroke occurs to an Australian every 11 minutes and while my experience can be described as a stroke, I now tend to think of it as a TBI (Traumatic Brain Injury) as I can honestly say that someone literally cracked my head open and incised my throat. As you read my story, keep in mind that I literally have “rocks in my head” as well, at least the materials used in the endovascular embolisation which could be described as a glue or putty. Knowing if there are other items (such coils and micro-balloons) as well is unclear and something that I am still processing through. Essentially, I just can’t go anywhere and have an MRI of my brain because they want to know these sorts of details.
So when I was asked the question, “How did I process everything you went through once you woke up?”, I would have to say, frankly, I didn’t. I am still surprised about some of the things that keep learning more about as each day goes on.
For example, I have recently realised that according to the statistics, I experienced something that happens to fewer than 1 in 10 billion people annually, keeping in mind that the world population is estimated at 8.3 billion.
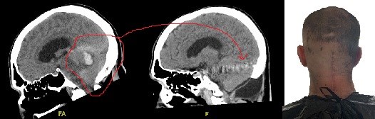
Here is what I have been able to gather. I experienced a brain bleed resulting from a ruptured dural arteriovenous fistula (DAVF) which is very rare, occurring in a small percentage of an already quite rare condition. A DAVF occurs in fewer than 1 in 100,000 people annually, representing about 10-15% of all intracranial vascular malformations, often affecting middle-aged adults.
During my treatment, it was found that I had an acoustic neuroma (vestibular schwannoma). Acoustic neuromas (vestibular schwannomas) are considered rare, affecting about 1 in 100,000 people annually, though this number may rise due to better detection of small, incidental tumors; they are benign tumors on the nerve connecting the inner ear to the brain, making up a small percentage (6-10%) of all brain tumors, but most cases occur sporadically without a clear cause.
According to the statistics, the intersection of these two populations as independent events uses the multiplication rule resulting in a probability of fewer than 1 in 10 billion people annually.
If that wasn’t bad enough, my stroke occurred in July 2021 during the height of the pandemic restrictions (and lockdowns in Melbourne, which is challenging enough to describe that experience to anyone not in Melbourne at the time), my family was not permitted to see me unless it was end of life, and that due to complications, I required a tracheostomy.
Is it still appropriate to call this a stroke? Let me say, stroke was not a term used by the staff at the time. From very early on, it was related to me as a DAVF.
Before I get too far into describing my experience, let me say that if you don't know what it is to Be-F.A.S.T, what are you waiting for? Like heart attacks, time is a critical factor in the outcome. In the case of a heart attack, we check for a pulse and use a defibrillator as needed. For stroke, it is about being F.A.S.T. (Face, Arms, Speech, Time to get help). Advances in medicine are dramatically helping reduce the impact a stroke has on someone's quality of life but it still relies on that help being provided early.
"The experience of stroke is like describing the colour green to a blind person."
In writing about my experience, I have reached the conclusion that describing a stroke or my experience is like describing the colour green to a blind person. Even for those who have experienced stroke and know of the colour green, the sRGB model allows for 255 different shades of green so experiences differ.
At the upper (lighter) end of the green spectrum analogy (0,255,0) is the Transient Ischemic Attack (TIA) or mini-stroke, where blood flow is temporarily disrupted. In the middle range of the green spectrum analogy (0,127,0) is the more commonly experienced ischemic stroke, which is due to a blockage. At the lower (darker) end of the green spectrum analogy (0,1,0) is the haemorrhagic stroke, which is due to bleeding. They are all green, but different. So too, is stroke.
The key point here is that when you think about the colour green (stroke), what shade comes to mind? Let me push some boundaries.
Sometimes it is better said with a picture.

Our language is not truly adequate enough to express the experience of stroke. The nature of stroke is to impact the brain, and anything that impacts the brain alters a person’s experience of the world. How I think and feel now is not how I thought and felt during the experience. For me, the stroke experience was like taking a journey through a dream, the rationality of our world didn’t exist within the early experience of my stroke. From my perspective, I can only recall various early fragments and the conscious responses, but I know in discussions with my wife afterwards, I was also called upon to make some subconscious ones.
As someone who has been skydiving, I can recall being told about sensory overload and why it may result in a gap in the memory of the initial part of the jump. In many ways, stroke shares elements of the skydiving experience. Stroke has the potential to shut down the memory centres either through overwhelming the senses (with pain) or via damage to the brain. It is no surprise then that I can only recall fragments of my event.
What my skydiving experience (subconsciously) taught me about stroke recovery.
Skydiving requires an awareness of the body as small movements of the body may result in big changes. The reason why a skydiver arches their back is to ensure that they fall face forward (you fall towards your lowest centre of mass). When a skydiver stops arching their back, they tend to make their bottom the lowest centre of mass resulting in being flipped over, falling back first.
Misaligning or making unequal movements of your arms and legs creates a spin. That is why you see the other arm move to the centre of the head when reaching to deploy the chute. I personally know this as I experienced a flat spin reaching to deploy my chute.
The rate the skydiver falls is controlled by air resistance, widespread arms and legs result in greater resistance and slower fall. The least air resistance occurs when arms and legs are tucked in resulting in a faster fall. Deploying the parachute just slows your fall to a manageable level. Modern chutes also allow you to turn and ultimately create a stall just prior to landing.
The whole freefall experience of skydiving is learning how to move your body and position it to achieve an outcome (direction) in a limited amount of time. It is the closest thing to real flight that you can ever experience.
What skydiving shares with my stroke experience is that I was unable to speak for the initial part in both situations, both were dangerous situations requiring not letting fear get the better of you, both required being present in that moment, focused on achieving a positive outcome and both required learning how to move. Forgotten at the time, I now believe this experience served me well during my stroke.
Two weeks in a coma in the ICU, takes a serious toll on the muscles and your ability to move. Add an injury that restricted head movement and I was back to the beginning, needing to learn to move again. While effective, I don’t recommend it as a weight loss programme.
In my opinion, stroke recovery for those who have never experienced it is like learning to get your non-dominant hand, foot and eye to the same level as your dominant hand, foot and eye. That is the effort and tenacity needed to recover.
Another life experience, forgotten at the time, that served me well is that I hold a Scuba Diving Certificate.
A stroke with a tracheostomy has elements in common with a Scuba Dive
You're under pressure. Breathe in, breathe out. Speaking is not an option. Your motion is altered and you can feel the water all over your skin. Visibility is impacted and you’re in a dangerous environment/situation with the knowledge that rising too fast may result in “the bends”, or decompression sickness. Being patient is required, being calm and in control of yourself is critical. Observe your surroundings and take note, valid for any situation you find yourself in.
In hindsight, I am surprised as to how well I was placed due to my life experiences to deal with the situation I found myself in and to make the recovery that I have.
During my lifetime, I have skydived (fallen from over 10,000 feet / 3 km), scuba dived (up to 20 metres underwater), flown in a variety of vehicles (light plane, ultralight, helicopter), ridden bicycles and motorcycles, ridden horses, skied on snow, grass and water (including barefoot) and drove a manual car for a period of time. I also have obtained yellow belts in the martial arts of Aikido and Shorinji Kemo as well as have done Kendo and fencing. I played sports such as cricket, tennis, squash and Aussie Rules. I have done archery and shot a firearm. Essentially, all these activities taught me ways to move, maintain balance, and obtain good hand-eye coordination which did me well in stroke recovery.
More importantly, having faced fear previously, stroke was just another situation to work through. So in some ways, I always knew that I had a good chance of recovery. I knew it wasn’t going to be easy, that it would also involve effort and hard work. That was ok, as my wife said to me, "you had an hour long PT session the night before your stroke.” My comment to a physio was “I am here to get better, push me as hard as you like”. Now, I regularly run 5km non-stop and have completed over 150 parkruns since my stroke.
Motivation Helps
During my early experience, I was never alone. My two-week coma was spent in the ICU of St Vincent's Hospital under 24/7 care. I learnt afterwards that I had a dedicated nurse specifically monitoring my condition during that time. The whole setup of the ICU is to maximise visibility of the patient. Here is a link I found that shows what the ICU is like.
To be honest, my recollection of the place is very different as it was layered with hallucinations and strange dreams. I believe there may have been some Christmas in July activity going on as well which made it very surreal. There is a fragment of recollection that involves intense pain and the feeling that my chest had been ripped open.
While I was never alone, it was spent amongst strangers as my family weren’t allowed to visit me unless it was end-of-life due to the pandemic restrictions in place at the time. In total, I spent 32 days across two hospitals before I made it home.
Due to the tracheostomy, I really couldn’t ask or respond in detail to questions as I could not speak. In a situation where reading and writing was difficult, I was reliant on a whiteboard to convey a message with any detail. Consider this in the context of what other survivors have said on how long it takes a person with stroke to learn to write again. One source stated close to 4 years.
One thing that gets easily overlooked in these situations is how exposed and vulnerable you are. Pretty much, there are connections everywhere and you are attached to so many things in so many different places. Take note, never confuse the cannula with the catheter.
Another thing that I think most people don’t realise is that a tracheostomy requires regular cleaning (sometimes twice a day) that involves suctioning to help remove phlegm from your lungs. This involves a nurse putting a long thin tube down your tracheostomy tube to “gently” suck out extra phlegm from your lungs and it is not the most pleasant of experiences. To escape the experience, you need the strength and ability to cough to bring up the phlegm on your own before it is removed.
As well as not being able to speak, a tracheostomy prevents eating and drinking. If the experience of being fed by a nasogastric tube wasn’t bad enough, throwing it up and having it coil in my mouth took it to another level. Having the nasogastric tube reinserted was close to one of the most painful experiences throughout my entire time in hospital (and that is probably saying a lot). In my opinion, if you ever find yourself requiring a nasogastric tube and they say it is not painful, ask them if they have ever had it done to them.
The whole experience sounds like torture, right?
What keeps a person going through an experience like this especially when your loved ones are not permitted to be with you?
Motivation. I just wanted to get better and get the hell out of there.
But first, I really, really wanted the nasogastric tube removed and to eat real food again!
Does having loved ones nearby hinder or help the healing process?
That is a very valid question with no easy answer. Would I have gotten as far as I did if my loved ones were able to visit? The challenge for me in not having a loved one nearby is that I didn’t have an advocate close at hand or someone to reiterate information provided (especially when you’re thinking and memory speed has slowed). One example was in relation to deciphering what had been done to my head and it sounded like some mention of a plate and screws. I think my brain went in the “Will I beep in metal detectors” kind of direction.
It also meant that I really didn’t have any photos of the experience. At some point, it crossed my mind to get a photo of the tracheostomy tube as it was removed. The big thing that I missed was I didn’t get to see the scar in the back of my head until I got home (and the really bad hair day as I couldn’t get it trimmed at the time).
"The only thing better than motivation is Spirit."
One of the fears my wife had concerning my stroke was that I would just give up and submit to the damage done. Until I woke from my coma, no-one could really know what damage had been done, so it was an agonising wait for her.
The important point to make here is that my experience started out in the morning, believing it was a migraine until later that day an ambulance was called, and an MRI was done just before 8pm. It showed bleeding in the brain so I was placed in an ambulance and sent into the city. Essentially, my procedures occurred over several days as there were complications such as a covid case in the cafeteria that impacted staffing and the conditions that required me to have a tracheostomy. Essentially, it was a number of hours before the pressure in my head had been relieved and it was uncertain as to what damage was done.
Lucky for me I had a superpower but more importantly, I had spirit, grit and determination. I looked death in the eye and said “Not today. As much as I would like to know what lies beyond I cannot accept at this time”.
"When it came to fight or flight, I fought."
Stroke may have broken my body,
Stroke may have broken my mind,
But stroke never broke my spirit.
I keep my spirit strong so I can heal my body and mind to best of my ability,
I will continue to fight stroke as long as I live.
Spirit reflects the animating principle, soul, or vital force within a living being. Feed it, nurture it and let it grow. The rest will follow.
Spiritual Reflections on the Experience
I am a Stranger Things Kid. I grew up riding my bicycle to High School in the 80s and I played Dungeons & Dragons (still do, at least roleplaying games. D&D is a brand of RPG). That makes me Gen X and when I hear Gen X, I think about the Uncanny X-Men (both the Marvel Comics and the band) which is one of my favourite superhero groups, so I confess to being a geek. Yes, my superpower is that I survived a stroke. Also, as a kid of the 80s, I was also shaped by Star Wars. It is hard to state the impact that such a movie/trilogy had on the generation but I am pretty sure that “The Force” had a philosophical impact on many.

Damian in his Jedi robe
The Force and many martial arts brought the concepts of eastern philosophy to myself and many in the west. A number of books also gained popularity at the time such as the “Tao of Physics”, “Zen and the Art of Motorcycle Maintenance” and “Jonathan Livingston Seagull” which fueled my interest.
I was spiritual but never religious. I had always been philosophical and I remember recalling at a young age that reincarnation made sense to me and when I first learnt of the atomic model, I wondered if we existed at a particular phase of the model. (If you consider an electron orbiting the core proton/neutron like the hands of a clock, do we live at the 1 o’clock phase of the model? When the electron moves around the clock, it joins with other atomic structures nearby to form different patterns at every o’clock. So are we essentially living within a frame like that of a movie). I had also wondered if we were essentially energy beings given physical form, are fingerprints the physical manifestation of that energy in the same way that the wind leaves patterns in the sand?
If anything, my stroke has made me more philosophical. As a circle hides a sphere, cone, cylinder or spiral, stroke has added dimensionality to my thoughts and experience.
As someone who has looked death in the eye, I was confronted with the big question and took some time to reflect during my recovery. As someone who believed that there was something after, I still took some time to reflect about that belief. What I realised and hadn’t seen much about was the question of identity or uniqueness in the period afterwards. My thoughts came to the conclusion that there is one singular attribute that reflects a non-physical entity is their observation. No two people share the same observation or point of view, each is unique.
Without the physical, many attributes are no longer valid, some characteristics I put aside because I couldn’t reconcile the “nature versus nurture” identity of these characteristics. Even your name is not unique if the cyclic nature of reincarnation is included. What I found left behind was two things - Observations and Experiences. My challenge with experiences was that if our understanding of time is incomplete, then so too is our history because time may well be an illusion of our senses.
It is important to state here that this is where my thoughts and reflections went after a stroke, it is no validation that I am correct or I am asking others to share in my belief. As I said, I have rocks in my head but I do think it is important that each person undertake their own reflections. It is how we make sense of what occurred to us and an acceptance that stroke is change, which is an important stage of the healing process.
Scars, trauma, and the mental toll of it all
As I mentioned previously, my superpower is that I survived a stroke. What needs to be considered here is that superheroes wear masks and so too, do those impacted by stroke. Masks are a coping mechanism. Masks are what protects us from the trauma of the experience, the uncertainty and the invisible cost associated with stroke.
From what I understand, my stroke differs from many in that I carry scars, both externally (back of the head and throat) and internally (on the brain). I have been fortunate in my physical healing and my specialist said that one of my challenges is that I look so well. That is my mask, at least from the front. While my hair has grown, some of my scar from the craniotomy (or craniectomy) procedure can still be seen and the hollow, from where bone was permanently removed from my head, can be made out. Each time I place my hand at the back of my head I am constantly reminded of my rite of passage into the experience of stroke. This is my war wound that accompanies my war story about battling stroke. This is my gift that stops me feeling like an imposter.

Far more insidious, are the invisible impacts of stroke. With each moment of forgetfulness, or when attention wanders, or you do sometime that just seems ‘dumb’, there is the silent voice of stroke. A seed that whispers fears, uncertainty and doubt about our mental capacities, our confidence, our control. Is that the stroke, old age or something else? I have found it best not to feed or nurture such thoughts. These are the things that are hardest to accept. Mindfulness and focus are useful tools to reign in an errant lapse.
For me, the most damaging and triggering event was not the stroke but how I was treated by my workplace. Of all the events that happened, that one hurt the most. It is an invisible wound that has not yet healed. The most important aspect to this is that I can now see the trigger.
When people talk about the fatigue associated with stroke, I find that a large proportion of that fatigue is generated by these invisible wounds and the internal battles against the silent voice of stroke.
To counter this mental toll, we don a mask. Our masks come in many forms and they help us conceal the fear and uncertainty so as to convince others that we are coping. A mask may just as easily manifest as humour. As I said to my wife, “Old goths never die, they just go batty”.

Damian and Moira dressed as Goths
The Healing Power of Lego
I believe that creativity is neuroplasticity in action. Creativity requires looking at the world and thinking differently, essentially generating new neural connections and associations that weren’t there before. When you’re having fun, it is easier to forget about your ailments.
I found Lego a powerful tool in the recovery process as it is fun to do and it combines many of the elements needed for a successful recovery. With Lego, you can either free build (take pieces and build something based on your creativity) or you can build to the box (as per the instructions). Both are beneficial to stroke recovery. Either way involves identifying pieces by size or colour, and placing pieces together utilising dexterity and manipulation. The instructions in Lego are usually well laid out and understandable. When playing with Lego, take your time and try to utilise both hands. Doing this will help build your dexterity and fine motor control while doing something with a tangible outcome. The outcome being a “look at what I built” type scenario.
Listen up “Bub”, Lego has come a long way and is no longer for kids. Anyway, you’re survived a near-death experience (roughly 1 in every 6 stroke events results in a life lost*).
So what if you want to play with Lego!
What’s stopping you?
SNICKT!

*According to the aihw.gov.au website, “On average, 23 Australians died of stroke each day in 2022" (8,400 deaths).
I take pride in Finishing F.A.S.T for Stroke Awareness & Prevention
One of the proudest things I have done since my stroke is my experimentation with stroke advocacy. Since stroke is fundamentally about change, and sometimes the only way to truly understand what has changed is to experiment, I started an experiment at parkrun.
My wife gave me the impetus when I reached my 100th post stroke parkrun milestone. While I had talked about it with others previously, I decided to help lift awareness by establishing the Finish F.A.S.T for Stroke Awareness & Prevention Parkrun running club/group and noting my post-stroke milestone on the back of my parkrun shirt. The shirt has been great for starting conversations and inspiring others. I have since gone on to establish a website for the group (and my creative approach to raising awareness of F.A.S.T.).
Like all experiments, there have been mixed results but I was very fortunate to have had parkrun do an article which was great. I was blown away recently when someone told me they had read the article and thanked me. It is so easy to forget about how many people have been touched by a stroke even though it occurs to someone every 11 minutes.
According to the Federal Minister for Health and Ageing (29 May 2025), Heart disease is Australia’s biggest killer – one Australian has a heart attack or stroke every 4 minutes. We have defibrillators for heart attacks but what do we have for a stroke? Learn the F.A.S.T. signs of stroke now!
The experiment and conversations continue, hopefully they will grow in time but one thing will remain, I will always attempt to Finish F.A.S.T. at parkrun. Recently, my running app had me clocking in a finishing sprint of 2:36 minutes/km which I was very happy about.
Living with the impact of stroke is as Kermit the Frog said, “It’s not easy being green”.

